Laburpena
46,XX sexu-garapenaren testikuluetako asaldura antzutasun maskulinoaren kausa ezohiko bat da. Adierazitako sexu-fenotipoa (maskulinoa) eta genotipoa (femeninoa) ez datoz bat. 46,XX kariotipoa duten pertsonetan gertatzen da eta gizonezkoen kanpo-genital normalak edo anbiguoak, testosterona-maila urria eta antzutasuna izaten dituzte. Hormona bidezko terapia egokiaz, bizitza-kalitate ona izateko aukera hobea dute.
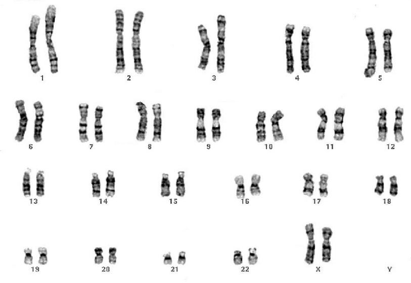
Diagnostikoan, azterketa genetikoa egitea funtsezkoa da asaldura eragiten duen genea identifikatzeko. SRY genearen eginkizuna garrantzitsua da, gizonezko hauek bi taldetan sailkatzea baimentzen duelako: SRY genea dutenak, Y kromosomatik X kromosomara translokatuz gizonezkoen sexu-diferentziazioa aktibatzen du (SRY positiboa), eta translokazio hau ez dutenak (SRY negatiboa). Kasuen % 80-90 SRY positiboak dira. % 10-20 osatzen duten SRY negatibo kasuetan zaila da asalduraren gene erantzulea identifikatzea. Horrek X kromosomari lotutako beste gene batzuen parte-hartzea adieraziko luke.
Honakoa SRY negatiboko 46,XX sexu-garapenaren testikuluetako asaldura eta maskulinizazio osoa dituen kasu arraro baten aurkezpena da. Nahasmenduaren kausa ez da oraindik zehaztea lortu.
